![]() |
![]() |
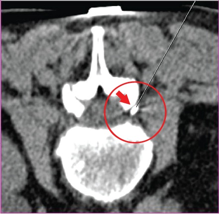
![]() Признаки сдавления нервных структур не... КТ пояснично-крестцового |
![]() МРТ пояснично-крестцового отдела позвоночника до начала терапии. На |
| МРТ пояснично-крестцового отдела позвоночника - срединная грыжа диска |
![]() |
МРТ пояснично-крестцового отдела позвоночника до лечения. На |
Грыжа пояснично крестцового отдела позвоночника: лечение. |
![]() КТ пояснично-крестцового позвоночника. рентгенография пояснично |
![]() |
![]() ... лечения корешковой симптоматики, вызванной грыжами дисков пояснично |

Крестцом называется крупная кость треугольной формы, находящаяся в
![]() МРТ пояснично-крестцового отдела позвоночника после лечения. Эпикриз |

КТ пояснично-крестцового отдела позвоночника после лечения.
![]() |
![]() |
![]() |
![]() |
![]() |
| Грыжа межпозвоночного диска поясничного отдела позвоночника (см |
![]() МРТ пояснично-крестцового отдела позвоночника до лечения. После. |















Комментариев нет:
Отправить комментарий